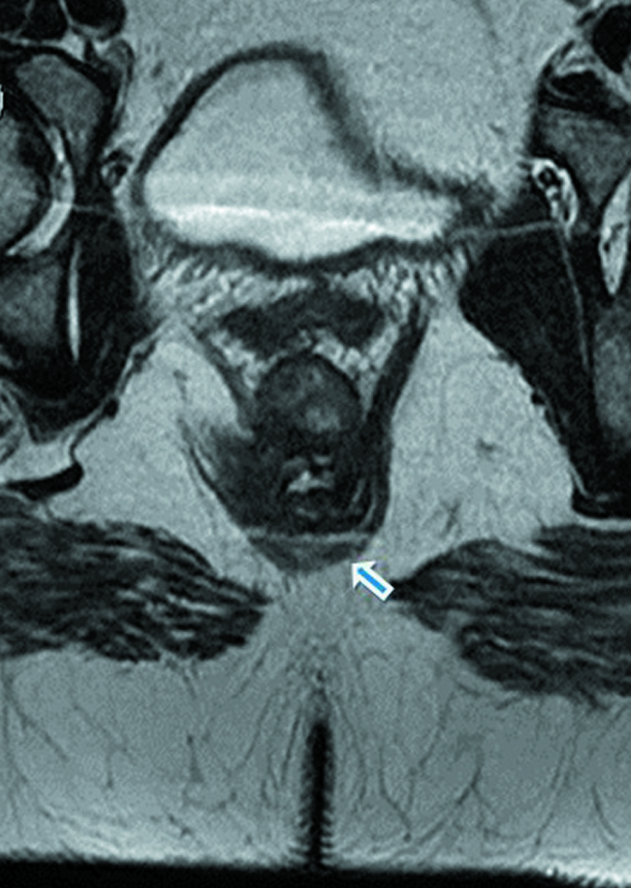
Una mujer de 40 años llegó al hospital por sufrir abscesos y tras algunos exámenes, los médicos encontraron dos anos en su interior. Este inusual caso se dio en el centro médico Figueria da Foz en Porto, Portugal.
Los médicos dieron a conocer el hallazgo a través de una publicación en el Journal of Medical Case. El informe detalla que la paciente tenía una rara formación del tracto digestivo, lo que generó el segundo canal anal.
“La duplicación del canal anal es la malformación congénita del tracto digestivo más extraña. Cerca de 60 casos han sido descritos alrededor del mundo”, detallan en la investigación publicada por los médicos.
Luego de dar este diagnóstico, los médicos le dijeron a la mujer que podían corregir esta malformación a través de una cirugía; sin embargo, ella se opuso a esta sugerencia.

